FK-KMK UGM. Fakultas Kedokteran, Kesehatan Masyarakat, dan Keperawatan (FK-KMK) Universitas Gadjah Mada terus memperkuat kontribusinya dalam pengembangan inovasi diagnostik berbasis teknologi radiologi. Tim peneliti yang diketuai oleh Prof. Dr. dr. Lina Choridah, Sp.Rad.Subsp.PRP(K) berhasil meneliti potensi protokol magnetic resonance imaging (MRI) singkat atau abbreviated MRI sebagai metode efektif dan efisien dalam mendeteksi lesi kanker payudara pada tahap awal maupun pasca pengobatan.
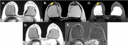
Penelitian ini dipublikasikan di Egyptian Journal of Radiology and Nuclear Medicine yang dipublikasikan pada Juni 2025 dengan judul “Accuracy of abbreviated breast magnetic resonance imaging protocols for primary tumor and post-treatment evaluation”. Studi ini melibatkan 205 pasien dengan total 277 lesi yang diperiksa menggunakan protokol MRI singkat berdurasi 10–11 menit, jauh lebih cepat dibandingkan MRI konvensional yang membutuhkan sekitar 25 menit. Hasil penelitian menunjukkan bahwa abbreviated MRI memiliki sensitivitas hingga 92% dan spesifisitas 89%, menandakan kemampuannya dalam membedakan antara lesi jinak dan ganas dengan akurasi yang tinggi.
Menurut Prof. Lina Choridah, metode abbreviated MRI sangat relevan diterapkan di fasilitas kesehatan dengan sumber daya terbatas karena dapat memangkas waktu pemeriksaan dan biaya secara signifikan. Ia menekankan bahwa pendekatan ini juga sangat efektif untuk mendeteksi kanker pada perempuan berusia muda dengan jaringan payudara padat, yang umumnya sulit dievaluasi menggunakan metode mammografi. Penelitian ini mengungkap bahwa kelompok usia di bawah 40 tahun memiliki proporsi kasus kanker payudara yang cukup tinggi, sehingga kebutuhan akan metode diagnostik yang lebih efisien dan sensitif menjadi semakin mendesak.
Sementara itu, dr. Sariningsih Hikmawati, Sp.Rad(K), selaku peneliti koresponden, menjelaskan bahwa penelitian ini memberikan dasar ilmiah yang kuat bagi pengembangan protokol radiologi singkat tanpa mengorbankan ketepatan diagnosis. Ia menambahkan bahwa hasil riset ini diharapkan mampu memperkuat layanan diagnostik radiologi di Indonesia, khususnya dalam mendukung deteksi dini kanker payudara dan evaluasi pasca tindakan medis.
Penelitian ini juga merupakan kolaborasi antara FK-KMK UGM, RSUP Dr. Sardjito, dan RS Kanker Dharmais, dengan dukungan Hibah Asisten Riset Universitas Gadjah Mada Tahun 2024. Selain itu, studi ini telah memperoleh persetujuan etik dari Komite Etik Penelitian Kesehatan FK-KMK UGM, memastikan seluruh prosedur riset dilakukan sesuai dengan standar penelitian kesehatan. Penelitian ini berkontribusi pada SDG 3: Kehidupan Sehat dan Sejahtera, yaitu menjamin kehidupan yang sehat dan mendorong kesejahteraan bagi semua orang di segala usia. SDG 4: Pendidikan Berkualitas melalui publikasi ilmiah, serta SDG 17: Kemitraan untuk Mencapai Tujuan. (Kontributor: Prof. dr. Lina Choridah, Sp.Rad, Subsp. PRP(K) dan Tim Peneliti).




